ボロボロの歯を変えれば、
人生が変わる

歯科医院への足が遠のく原因は、過去の「痛み」「説明不足」「不安な治療」「嘔吐反射」といった辛い経験であることが多く、これらは患者様ではなく医療提供側の改善すべき点です。
長尾歯科クリニック日暮里では、患者様が安心して治療に専念できるよう、痛みの少ない治療と嘔吐反射への充実した対応、丁寧なカウンセリング、プライバシーへの配慮、先進医療機器による安全で確実な安心できる歯科治療を徹底しています。
「もう二度と歯科医院に行きたくない」と感じていた方にこそ、当院で安心できる歯科治療を体験していただきたいと願っています。
痛みに配慮した、やさしい治療を

歯科治療には「痛い」「不快」「怖い」といったイメージがつきものです。
当院では、表面麻酔や極細針、電動麻酔などの工夫や、痛みを抑えるさまざまな技術、さらに麻酔医による静脈内鎮静法などを取り入れることで、痛みや不快感、恐怖心をできるだけ軽減できるよう努めています。
丁寧な説明を尽くし、
過剰な治療はいたしません

長尾歯科クリニック日暮里は、患者様の身体に関わる治療の決定権を尊重し、丁寧な説明を徹底しています。
必要な治療だけを提案し、詳細な治療計画書を作成・提示することで、治療内容や期間、費用について分かりやすく説明し、不安や疑問には気軽に質問できる環境を提供しています。
ボロボロの歯の改善症例
-
- 性別・年齢
- 女性・50代
-
- 主訴
- 見た目を治したい
-
- 治療
- インプラント治療、セラミック治療
-
- 治療期間
- 約2年
-
- 費用
- 約300万円
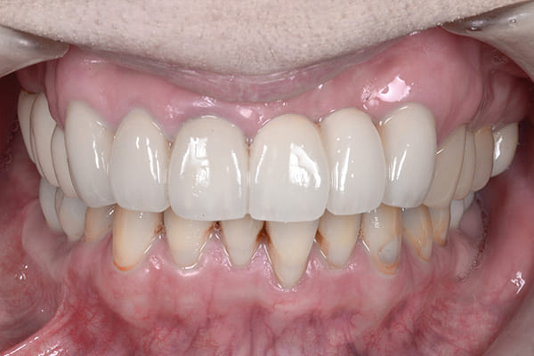
見た目が大きく改善されたことで患者様もとても満足され、さらにしっかりと噛めるようになったことを大変喜ばれていました。

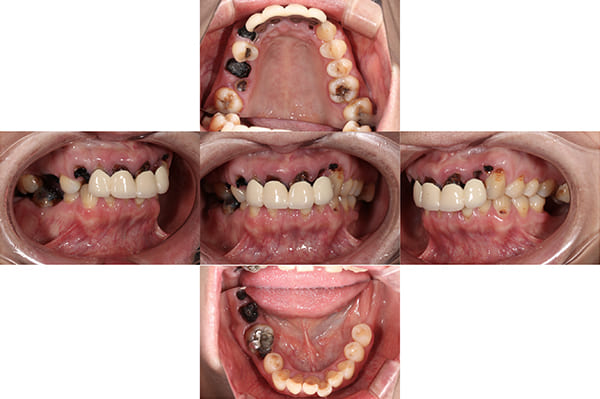
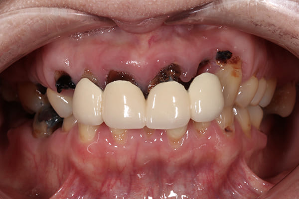
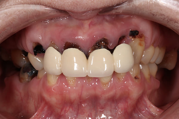
初診時の口腔内
「見た目を治したい」と来院された50代の女性の患者様です。
お口全体に虫歯がかなり進行しており、噛み合わせのバランスも崩れてる状態でした。
こちらが初診時の状態です

ワックスアップ
こちらがワックスアップと呼ばれる最終的な仕上がりをシュミレーションした状態です。
そして下の奥歯の歯がないところには、インプラント入れる計画を立てました。

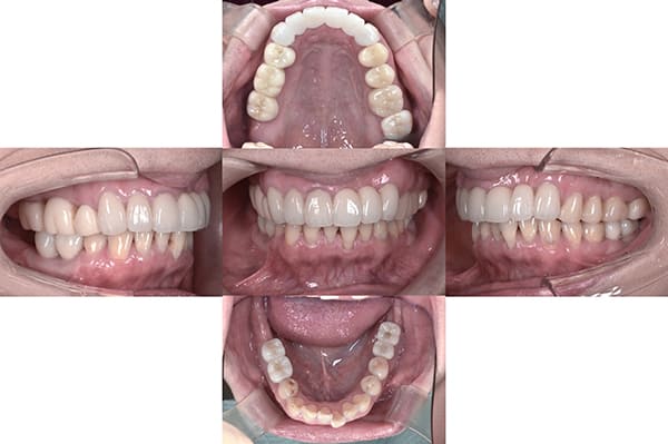
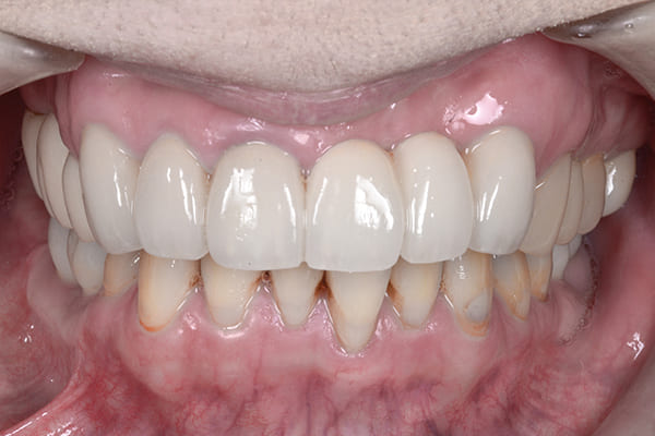
治療後の状態
こちらが最終的な補綴物が入った状態です。
見た目が大きく改善されたことで患者様もとても満足され、さらにしっかりと噛めるようになったことを大変喜ばれていました。
治療前後の比較
このように横に並べると変化がよくわかります。
治療を通じて、患者様の笑顔がより自然で明るくなり、自身を持って笑えるようになったことをとても嬉しく思います。
ボロボロの歯でお悩みの方へ
お口の健康は、全身の健康と密接につながっています。
歯並びや歯周病の改善は、頭痛や肩こり、全身疾患のリスク軽減だけでなく、自信や笑顔も取り戻す助けになります。
長尾歯科クリニック日暮里では、お口の健康を通じて、全身の健康、そして心の健康をサポート。
無理な治療はせず、患者様の意思を尊重します。
よくある質問 Q&A
-
- ボロボロの歯の治療は痛みがありますか?
-
一般的な治療には局所麻酔で行われ、ほとんど痛みは感じませんが、麻酔医による静脈内鎮静法にも対応いたします。
術後は麻酔が切れると痛みや腫れを感じることがありますが、痛み止めで対応可能です。
痛みや腫れの程度は、治療範囲や治療の種類によって違いがあります。
-
- ボロボロの歯の治療に年齢制限がありますか?
-
誰でも治療が可能で、年齢の上限はありません。
執筆・監修者

長尾歯科クリニック
院長長尾広資Kosuke Nagao
- 所属学会・認定医
-
- インビザライン 認定医
- 顎顔面インプラント学会 会員
- 日本口腔外科学会 会員
- 名古屋市立大学病院 非常勤歯科医師
- メッセージ
-
長尾歯科クリニック日暮里は、あなたのお悩みやご希望に寄り添い、最適な治療プランをご提案します。
丁寧なカウンセリングと精密な診断で、健康と美しさを追求したオーダーメイドの歯科医療をご提供しておりますので、お気軽にご相談ください。



