日本顎顔面インプラント学会
指導医・専門医による
インプラント治療

長尾歯科クリニック日暮里では、日本顎顔面インプラント学会指導医・専門医であり、元愛知学院大学歯学部顎顔面外科学講座主任教授である長尾徹先生による難症例にも対応するインプラント治療を実施しております。
また、見た目が重要な前歯のインプラント治療においても豊富な実績があります。
どのような難しい症例でも、お気軽にご相談ください。
安心と安全を追求した
一生もののインプラント

当院では、インプラント治療の安全・確実性を高めるため、歯科用CTや実績あるインプラントシステムなど先進設備を導入しています。
特に、従来のレントゲンでは把握しきれない神経や血管の位置、骨の幅・質などを正確に診断するため、CTによる精密検査はインプラント治療に不可欠です。
そして、日本顎顔面インプラント学会指導医・専門医である長尾徹先生を加えたチーム医療にて、高レベルのインプラント治療を実施しております。
これらにより、患者様に最良のインプラント治療を提供しています。
インプラント治療で得られる利点
-
- Merit 1
-
咀嚼機能(噛む機能)の回復
インプラントは入れ歯と違い、しっかり骨と結合するため、噛む機能が回復し、通常の食生活を堪能できます。
-
- Merit 2
-
笑顔の回復
入れ歯のようにズレたり動くことはありませんので、大きく口をあけて笑うことができるようになります。
-
- Merit 3
-
発音・発生機能の回復
歯が無いことによる空気の抜けもなく、入れ歯がズレる心配がありませんから、しっかり発音することが可能になります。
-
- Merit 4
-
周囲の歯を傷めません
インプラントは、ブリッジや入れ歯のように周りの歯を削ったり、きれいな歯を傷つけることはありません。また、無歯による周りの歯の骨吸収を防ぐことができます。
他の治療との比較
歯を失った場合に機能や見た目を回復する為の方法としてブリッジ、入れ歯、インプラントの3つの治療の選択肢があります。
これらの治療法には利点もあれば欠点もあります。ここではこれら3つの治療法について比較紹介します。
| インプラント | ブリッジ | 入れ歯 | |
|---|---|---|---|
![]() |
![]() |
![]() |
|
| 利点 |
|
|
|
| 欠点 |
|
|
|
顎骨不足も骨造成で改善

GBR・骨誘導再生法
GBR(Guided Bone Regeneration)は、インプラントに必要な骨の厚みや幅を増やす骨誘導再生法です。
歯の喪失や感染により骨が吸収されてしまった場合に、骨を再生させてインプラント治療を可能にします。

サイナスリフト
上顎には上顎洞と呼ばれる空洞があります。
この上顎洞から歯の部分までの骨の高さが不足している場合に、人工骨や自身の骨を移植することにより、上顎洞にインプラント埋入に必要な骨の厚みを作り出す方法です。

ボーングラフト法
ボーングラフトは、歯槽骨が吸収されて骨の幅が不足し、インプラントを埋入できない症例に適用される骨移植の手法です。
患者様自身の骨を最小限のブロック状に切り出し、骨が足りない部分に移植することで、インプラント治療に必要な骨量を確保します。
インプラント治療の流れ
-
STEP 1
- カウンセリング
-
最初に治療内容や注意点について丁寧なカウンセリングを行います。
患者様に不安を解消していただいてから検査・治療に進みます。
-
STEP 2
- 検査
-
患者様の健康状態などを問診した後に口内の検査を行い、虫歯や歯周病の有無を調べます。
レントゲン・CTスキャンなども行い、最後に歯型を採ります。
-
STEP 3
- 治療計画
-
インプラント治療を行うかどうかを決定し、検査結果からインプラント治療計画を立てます。
-
STEP 4
- 手術
-
インプラントを顎の骨に埋め込む手術を行います。
-
STEP 5
- 治癒期間
-
インプラントと顎の骨をしっかりと結合させるために、治癒期間(一般的には3~6ヶ月)をとります。
なお、この期間中は仮歯を使用します。
-
STEP 6
- 被せものの装着
-
歯の色や形を患者様のご希望に合わせて作製した被せもの(最終補綴物・差し歯)をインプラントに装着します。
-
STEP 7
- メンテナンス
-
インプラントを長く快適に使用していただくために、ご自宅での正しいブラッシング方法を指導いたします。
また、インプラント装着後1~2週間で最初のメンテナンスを行い、ネジの緩みや噛み合わせなどを確認。
その後は3~6ヶ月に一度の定期検診で、インプラントの状態をチェックします。
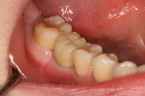
症例ケース
臼歯部(奥歯)の単独欠損
-
- 主訴
- 歯ぐきが退縮してきたことと、歯列不正の見た目が気になる
-
- 部位
- 臼歯部(奥歯)の単独欠損(1本欠損)
-
- 治療内容
- 奥歯の後から2番目の歯が抜けているところに1本インプラントを埋入し、審美面と機能面の回復を行いました。
よくある質問 Q&A
-
- インプラント治療でどのくらい
咬めるようになりますか? -
インプラントは「第二の永久歯」とも称され、自然な感覚でご自身の歯のように違和感なく噛むことが可能です。
- インプラント治療でどのくらい
-
- 見た目に違和感はありますか?
-
当院のインプラント治療は、審美的に自然な歯とそれほど変わらず綺麗な仕上がりにできます。
-
- インプラント手術は痛みがありますか?
-
インプラント手術は局所麻酔下で行われるため、術中に痛みはありません。
さらに当院では、麻酔医による静脈内鎮静法にも対応いたしますので、気が付いたらインプラント治療が終わっていたとなるリラックスした状態で治療をお受けいただけます。
-
- インプラント治療ができない場合は?
-
重度の糖尿病などの全身疾患がある方、女性の場合は骨粗鬆症や妊娠中の方、服用されている薬の問題でインプラントの治療が受けられない場合があります。
-
- インプラント治療は何歳から何歳まで
可能ですか? -
一般的に16歳以上と言われておりますが、顎の骨の成長が止まると手術が可能になります。
また、全身疾患の問題がなければ、高齢者の方でも治療を受けることができます。
- インプラント治療は何歳から何歳まで
-
- インプラントの手術当日は食事は
可能ですか? -
アルコールや熱い物・辛い物などの刺激の強い物は避けてください。
また、施術した部分に刺激が加わらないよう、当日はなるべく柔らかくあまり噛まなくてもよい食事を取るようにしてください。
- インプラントの手術当日は食事は
-
- インプラント治療のリスク・副作用は?
-
- 咬み合わせの違和感があることがある。
- インプラント周囲炎になることがある。
- 手術後の出血や痛みが出ることがある。
- 過度の衝撃による補綴物の脱落、破折することがある。
- 患者様の身体の状態(重度な糖尿病など)よって予後が悪くなるため治療できないことがある。
執筆・監修者

長尾歯科クリニック
院長長尾広資Kosuke Nagao
- 所属学会・認定医
-
- インビザライン 認定医
- 顎顔面インプラント学会 会員
- 日本口腔外科学会 会員
- 名古屋市立大学病院 非常勤歯科医師
- メッセージ
-
長尾歯科クリニック日暮里は、あなたのお悩みやご希望に寄り添い、最適な治療プランをご提案します。
丁寧なカウンセリングと精密な診断で、健康と美しさを追求したオーダーメイドの歯科医療をご提供しておりますので、お気軽にご相談ください。




