元口腔外科学大学教授による、
口腔外科専門外来

長尾歯科クリニック日暮里では、元愛知学院大学歯学部顎顔面外科学講座主任教授である長尾徹先生による口腔外科専門外来を実施しております。
親知らず(埋伏智歯)の抜歯、のう胞摘出術などの口腔外科小手術から口腔がん・前がん病変、その他口腔粘膜疾患の検査・診断を行います。また、インプラント難症例についても対応しておりますので、違和感や不安がある方は、一度お気軽にご相談ください。
口腔がん検診
愛知県歯科医師会口腔がん検診事業の様子

口腔がんのセルフチェック
Check1

口腔がんの約半数は舌にできます。
まず、舌を出してみましょう。まっすぐ前に出ますか?
Check2

つぎに舌を横に出します。
舌がんのほとんどが舌の横にできるので一番大事なチェックです。
Check3

反対側も見ます。
舌の付け根までしっかり出して見ましょう。
次の症状がある場合は、
お気軽にご相談ください
- 口内炎が2週間以上治らない
- 噛んだ傷や抜歯した傷がなかなか治らない
- 原因不明の歯のぐらつき
- 入れ歯が痛みや腫れで合わない
- 歯が浮く感じがする
- ただれ・しこり・腫れ・できもの・出血など
大学病院に行かずとも
高難度の抜歯に対応
日本口腔外科学会指導医・専門医による
腫れない痛くない抜歯
親知らずの抜歯は、生え方によっては難易度が高く、時間もかかってしまうことがあります。そのため、術後の腫れや痛みが気になる方もいらっしゃるのではないでしょうか。
長尾歯科クリニック日暮里では、専門の口腔外科医が親知らずの抜歯を担当しており、痛みをほとんど感じることなく、短時間で腫れにくい抜歯を実現しています。

静脈内鎮静法で不安や恐怖心を取り除く
当院の親知らず抜歯の特徴
-
- 1
- CT撮影により
安全で正確な抜歯が可能
-
- 2
- 専門の口腔外科医が在籍
-
- 3
- 腫れ・出血の軽減、テルプラグの使用
-
- 4
- 鎮静法でウトウトした状態での
抜歯が可能
-

パノラマレントゲン
-

精密なCT画像で診断
親知らずの種類

真っ直ぐ生えている親知らず
親知らずが真っ直ぐ生えているタイプです。
このタイプは、真っ直ぐに生えていて咬み合わせに問題がなければ、抜歯しないケースが多いです。ただし、虫歯になっていたり、痛みがあったり、咬み合わせが悪かったりする場合には抜歯をおすすめします。

斜めに生えている親知らず
親知らずが斜めに生えていて、隣の歯にぶつかって圧迫してしまうタイプです。
このタイプが最も多く、虫歯になりやすいだけでなく、隣の歯を圧迫し、咬み合わせや歯並びに影響が出る場合もあるので、抜歯をおすすめします。

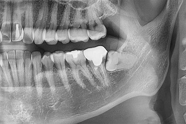
埋もれている水平埋伏の親知らず
歯ぐきの中で完全に真横に生えてしまうタイプです。
この親知らずを水平埋伏智歯と言います。
このタイプは、ほとんどが下顎のケースです。真横に生えているので、抜歯の際は難易度が高く2~3つに砕いて分けて抜歯をします。
親知らず抜歯の症例ケース
歯ぐきの中で完全に真横に生えてしまうタイプです。
この親知らずを水平埋伏智歯と言います。
このタイプは、ほとんどが下顎のケースです。真横に生えているので、抜歯の際は難易度が高く2~3つに砕いて分けて抜歯をします。
よくある質問 Q&A
-
- 親知らずは
抜歯したほうがいいですか? -
親知らずは場所が奥に位置し、歯列に収まりにくいため、歯ブラシが届きにくく、痛みや歯周病、虫歯の原因となることが多いです。
特に、横向きで一部露出している「半埋伏」状態では、中高年で約80%が虫歯・歯周病となり、抜歯が必要となるケースが多数を占めます。
- 親知らずは
-
- 親知らずの抜歯後の経過は?
-
親知らずの抜歯後の経過は、個人や抜歯の状況によって異なりますが、一般的には次のような段階をたどります。
直後(1日目)
傷口に血餅(血のかたまり)ができ、出血や軽い腫れ、違和感があります。冷やすことで腫れと痛みを抑えることができます。数日後(2〜3日目)
腫れや痛みがピークを迎えることが多いです。痛み止めや抗生物質を服用しながら、傷の治癒をすすめていきます。1週間程度
痛みや腫れは徐々に改善し、傷口も塞がってきます。歯ぐきの回復が進みます。数週間(2〜4週間)
傷口の完全な治癒や骨の回復が進みます。ただし、場合によっては違和感や軽度の不快感が続くこともあります。全体的な回復には個人差がありますが、口腔衛生管理や指示を守ることで、よりスムーズに回復できます。
何か異常を感じた場合は、お気軽にご相談ください。
-
- 抜歯後の痛みは
どれくらいありますか? -
親知らず抜歯後の痛みは状態により異なります。特に下顎の横向きに埋まっている場合、7~10日ほど続くこともありますが、通常は7~14日前後で収まります。
上顎の正常な親知らずは痛みが少ない傾向にあります。
術後は痛み止めで痛みをコントロールし、多くの患者様で効果が期待できます。
- 抜歯後の痛みは
-
- 親知らず抜歯後は腫れますか?
-
親知らずの抜歯後は、状況によりますが腫れが大きな飴玉を口に含むくらいになることがあります。
腫れは1〜3日がピークで、7〜10日続く場合もありますが、多くは7〜14日前後で収まります。
顔の見た目への影響もあるため、スケジュールに配慮し、患部の冷却は抜歯当日のみとしてください。
-
- 抜歯後に気をつけるべきことは?
-
抜歯当日は、出血や痛みを避けるため、激しい運動、長時間の入浴、飲酒など血行が良くなる行為を控えてください。
また、処方された抗生物質は、効果の低下や薬剤耐性菌の発生を防ぐため、必ず指示通りに服用してください。
-
- 親知らずの抜歯のリスク・副作用は?
-
下顎の骨内には神経と血管が通る下顎管があり、親知らずがこれに近い場合や接している場合、抜歯後に痺れなどの症状が出ることがあります。
執筆・監修者

長尾歯科クリニック
院長長尾広資Kosuke Nagao
- 所属学会・認定医
-
- インビザライン 認定医
- 顎顔面インプラント学会 会員
- 日本口腔外科学会 会員
- 名古屋市立大学病院 非常勤歯科医師
- メッセージ
-
長尾歯科クリニック日暮里は、あなたのお悩みやご希望に寄り添い、最適な治療プランをご提案します。
丁寧なカウンセリングと精密な診断で、健康と美しさを追求したオーダーメイドの歯科医療をご提供しておりますので、お気軽にご相談ください。

