歯ぐきの色や形や長さを美しく

長尾歯科クリニック日暮里では、歯だけではなく歯ぐきの審美性も追求しております。
歯ぐきの黒ずみをピンク色にするガムピーリング・ガムブリーチング、歯肉の退縮を改善する結合組織移植術(CTG)、歯が短く歯ぐきが長いガミースマイル、歯ぐきの高さを揃える歯肉形成など歯肉を美しくキレイにする美容歯ぐき治療を行っております。
症例レポート
ガミースマイル
-
- 性別・年齢
- 女性・20代
-
- 主訴
- 歯ぐきの腫れ、笑ったときに歯ぐきが目立つのが気になる
-
- 治療
- 歯槽骨整形(歯周外科)、セラミック治療
-
- 治療期間
- 約6か月
-
- 費用
- 約120万円
健康的で引き締まった歯肉へと回復しています。補綴物も高い透明感と自然な質感を備えており、審美性・機能性ともに理想的な仕上がりとなりました。

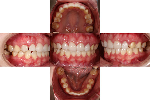
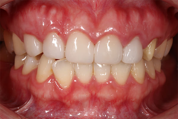
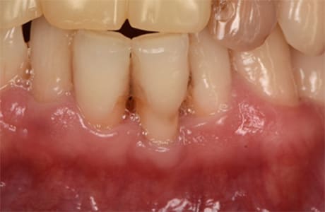
初診時の口腔内
「前歯の歯ぐきの腫れが引かない」と来院された20代女性の患者さまです。
数年前に他院でセラミック治療を受けた後から、歯ぐきの腫れが続いており、なかなか改善しないことを気にされていました。
初診時の口腔内写真からもわかるように、特に前歯の歯肉が赤く腫れ上がっている状態でした。

初診時のCT画像
CT画像を確認すると、セラミックの補綴物が歯槽骨のすぐ近くまで深く入り込んでいることがわかります(矢印)。
本来、歯槽骨の上には「生物学的副系」と呼ばれる約2mmの歯周組織のスペースが必要とされています。
このスペースは、歯ぐきの健康を保つために不可欠な体の防御構造です。
今回は、その生物学的副系を侵すようにセラミックが設置されていたため、慢性的な歯ぐきの腫れや炎症が起きる「医原性の歯周炎」を引き起こしていたと考えられます。
改善のためには、生物学的副系を再び確保すること(=歯周外科処置などによる再建)が必要となります。

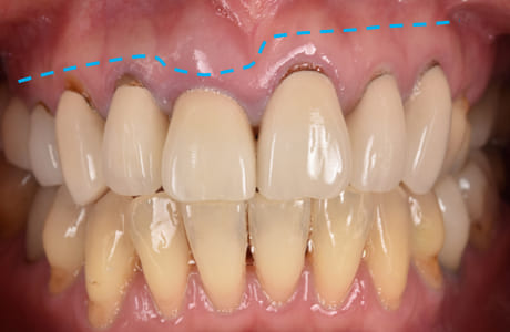
初診時の口元
装着されていたセラミックは、切縁(歯の先端部分)がやや長く、スマイル時に前歯が強調されて見える印象がありました。
そこで、見た目のバランスを整えるために、切縁を約1mm短く調整することにしました。
また、患者さまご自身も「笑ったときに歯ぐきが目立つのが気になる」とおっしゃっていたため、歯ぐきのラインを整える処置(ガミースマイルの改善)も合わせて行うこととしました。

ワックスアップ
最終的な被せ物(補綴物)の仕上がりをイメージするために、事前にワックスアップ(模型上でのシミュレーション)を行いました。
これにより、歯の長さや形、スマイル時の見え方などを確認し、理想的な仕上がりを患者さまと共有することができます。
またこのワックスアップは、手術時に歯ぐきの位置や形を正確に整えるためのガイド(ステント)としても活用します。
手術時
こちらがOPE時の写真です。
最終補綴物の形態に調和するよう歯肉ラインを整え、生物学的幅径(biologic width)を確保するために、必要な範囲で歯槽骨の整形(骨整形)を行いました。
歯周外科手術
こちらは、歯周外科手術の前と後の比較写真です。
術前と比べて、歯ぐきの位置が整い、歯が自然に長く見えるようになっているのがわかります。
これは歯ぐきのバランスを整えることで、歯の見え方をより美しく改善した結果です。
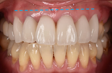
スマイル時の前後の比較
スマイル時の術前と術後の比較写真です。
術前は笑った際に歯ぐきの露出が目立っていましたが、術後は歯ぐきの見える範囲が大きく改善されているのがわかります。笑顔の印象もより自然でやわらかくなりました。

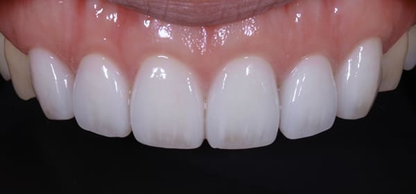
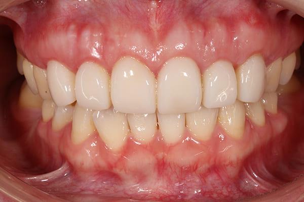
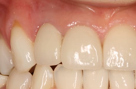
治療後
こちらが最終補綴物を装着した後の口腔内写真です。
初診時に見られた歯肉の炎症は改善し、健康的で引き締まった歯肉へと回復しています。
補綴物も高い透明感と自然な質感を備えており、審美性・機能性ともに理想的な仕上がりとなりました。
症例ケース
結合組織移植術(CTG)
結合組織移植術(Connective Tissue Graft)とは、歯肉の厚みとボリュームを増加させるために、主に口蓋から歯肉を採取し結合組織のみ移植する術式です。
「歯ぐきが退縮して見た目が気になる」「歯根が露出して歯がしみる」などのお悩みがありましたら、長尾歯科クリニック日暮里までご相談ください。
-
- 主訴
- 歯ぐきが退縮してきたことと、歯列不正の見た目が気になる
-
- 部位
- 下顎前歯
-
- 治療内容
- 歯肉移植
+セラミック治療
-
- 費用
- 約89万円
歯肉形成
歯肉形成は1歯単位で行えます。歯肉ラインが不揃いな場合、全体のラインを整え綺麗なラインを作ることができます。
-
- 主訴
- 歯の長さが違うためバランスがおかしい、歯ぐきも退縮し被せ物が合っていない
-
- 部位
- 上顎前歯6本
-
- 治療内容
- 歯肉移植
+セラミック治療
-
- 費用
- 約105万円
歯肉ピーリング
黒ずんだ歯茎を健康的なピンク色に戻すメラニン色素除去の治療が歯肉ピーリング・ガムピーリング(ガムブリーチ)です。
メラニン色素の沈着により歯肉の黒変が見られる場合、レーザー照射を何回か繰り返すことによってピーリングを行い、歯ぐきの色を改善することができます。
-
- 主訴
- タバコを吸うので、歯肉が黒く、昔入れた保険の被せ物も替えたい
-
- 部位
- 上顎22・24番と上の黒ずみ歯ぐき
-
- 治療内容
- ピーリング
+セラミック治療
-
- 費用
- 約37万円
補綴物による
歯ぐきの黒ずみ除去
歯の治療に使われている金属による金属アレルギーでメラニン細胞が増えて悪くなる場合、差し歯が合わず炎症を起こしていたり、歯周病による血行障害などが考えられます。
この場合には、原因を除去し、補綴をしっかり合った状態にやり直すことにより改善できます。
-
- 主訴
- 歯ぐきが黒くなっているのが気になる
-
- 部位
- 左上12番
-
- 治療内容
- セラミック治療
-
- 費用
- 約33万円
執筆・監修者

長尾歯科クリニック
院長長尾広資Kosuke Nagao
- 所属学会・認定医
-
- インビザライン 認定医
- 顎顔面インプラント学会 会員
- 日本口腔外科学会 会員
- 名古屋市立大学病院 非常勤歯科医師
- メッセージ
-
長尾歯科クリニック日暮里は、あなたのお悩みやご希望に寄り添い、最適な治療プランをご提案します。
丁寧なカウンセリングと精密な診断で、健康と美しさを追求したオーダーメイドの歯科医療をご提供しておりますので、お気軽にご相談ください。















