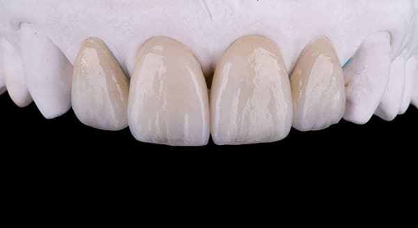
追求し続けた美しいセラミック治療

長尾歯科クリニック日暮里の美容審美歯科治療は、単に見た目を美しくするだけでなく、機能性も重視し、患者様の心身の健康に貢献することを目指しています。
最新のセラミック素材と接着技術を最大限に活用し、歯科医師と歯科技工士が密に連携することで、天然歯のような美しい仕上がりを最小限の侵襲で実現。技術レベルの高い提携歯科技工士が製作することにより、高品質なセラミックをリーズナブルな価格でご提供できるシステムも構築しています。
歯の色、形、歯並びに関するコンプレックスを解消し、健康的で美しい口元を手に入れたい方、どんな小さなお悩みでもお気軽にご相談ください。
究極の美を追求する美容審美歯科
美の追求[1]

プロビジョナル・レストレーションで治療後のイメージを共有
プロビジョナル・レストレーションとは、カウンセリングや検査情報に基づき精密に作製する仮歯を患者様のお口に装着し、完成形に近い形で審美性や咬み合わせ、長期的な機能性を検証する工程です。不具合があれば改善を繰り返し、歯科医師と患者様が納得されるまでこのプロセスを続けます。
なお当院では、ご希望の方には治療前に患者様の理想を伺い、模型にて完成形を提示しています。
美の追求[2]

美しさの基準「デンタルプロポーション」
私たちが追求するのは、お顔全体の印象と完璧に調和し、あなたらしい魅力を最大限に引き出す「本物の美しさ」です。
美しさの基準であるデンタルプロポーションを軸に、お顔のバランス、表情、そして個性を緻密に分析。ミリ単位で計算し尽くされた、あなただけのオーダーメイド審美治療で、自信あふれる最高の笑顔を創造します。
顔貌バランス

私たちは、顔の真ん中を通る「正中線」を基準に、口元の左右が完璧に調和しているかを重視します。上下の歯の中心がこの軸とピタリと揃うことで、お顔全体の印象が劇的に整い、自然で洗練された美しさが引き出されます。
唇とのバランス

私たちは、自然で魅力的な笑顔の鍵となる「スマイルライン」に徹底的にこだわります。
それは、あなたが微笑んだ時に、上の前歯の先端が描く優美なカーブと、下唇のラインが、まるで完璧に重なり合うように調和しているか、という繊細な美の基準です。この二つのラインがシンクロすることで生まれる理想的な曲線は、あなたの表情を一層引き立て、見る人を惹きつける最高の美しさを演出します。
黄金比

私たちは、前歯の最も美しいバランスとされる「黄金比であるゴールデンプロポーション」に基づいた審美治療を提供します。
中切歯(1.618):側切歯(1):犬歯(0.618)という理想的な比率を取り入れることで、調和のとれた自然な口元を実現します。
歯の形

口元の美しさは、歯一本一本の形態に大きく左右されます。当院では、周囲の組織(口唇、歯肉)や隣在歯との連携を綿密に分析し、個々に最も調和するナチュラルで審美的な歯の形態を提供いたします。
色彩と質感

口元の美しさを最大限に引き出すためには、歯の色と質感が重要です。くすみのない、明るく透明感のある白い歯は、自然な艶を放ち、お顔全体を美しく見せます。そして、表面の滑らかな質感も、美しい歯の重要な要素です。
歯ぐき

美しい歯肉とは、血色の良いピンク色でしっかりと引き締まっている状態を指します。歯と歯の間の歯肉がシャープで隙間がなく、前歯2本と犬歯を結んだ歯肉ラインが緩やかな弧を描いていることが重要です。さらに、左右対称であることで、より美しいガムラインとなります。
性別

男女それぞれに理想とされる歯の形には違いがあります。その違いを踏まえつつ、各個人の個性や雰囲気に合わせた自然な口元をデザインします。
年齢

当院では、長年の経験と実績に基づき、年齢による歯の自然な変化を考慮した上で、患者様にとって最適な審美治療をご提案します。歯の形や色だけでなく、全体のバランスを調整することで、若々しく自然な口元を演出します。
美の追求[3]

マイクロスコープによる精密審美治療
高度な技術を駆使し、マイクロスコープを用いた精密な美容審美歯科治療を提供しています。肉眼では確認できないミクロレベルでの正確な治療により、歯と歯肉の適合性を高め、長期間にわたって美しい状態を維持します。
患者様のお口元に完全に調和する、美しく機能的な歯をご提供いたします。
美の追求[4]

匠なテクニシャンによるセラミック補綴
セラミック素材や接着技術の科学的進歩を最大限に活用し、天然歯と見分けがつかないほど自然で美しいセラミック補綴(差し歯)を提供しております。
さらに、経験豊富な匠の歯科技工士と連携し、他のクリニックよりもコストを抑えつつ、高い精度のセラミックを患者様にお届けできる体制を整えています。
症例レポート
歯ぐきの出血ケース
-
- 性別・年齢
- 女性・50代
-
- 主訴
- 歯ぐきから血が出る
-
- 治療
- 歯周病治療と被せ物(補綴)による歯周補綴治療。遊離歯肉移植術を伴ったインプラント治療。
-
- 治療期間
- 約2年
-
- 費用
- 約400万円
治療後は、笑顔全体がより自然で美しく見えるようになりました。

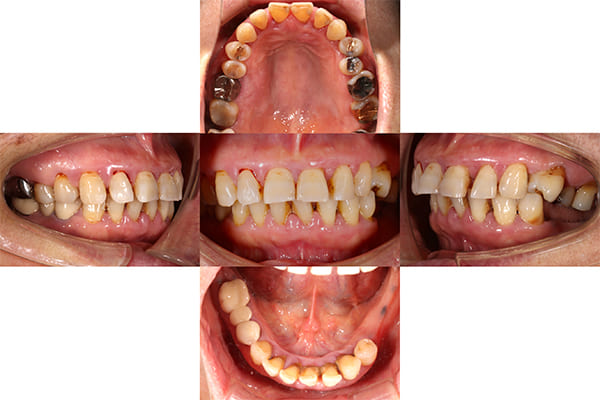
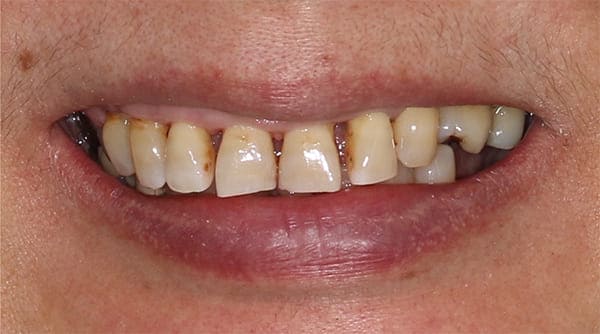
初診時の口腔内
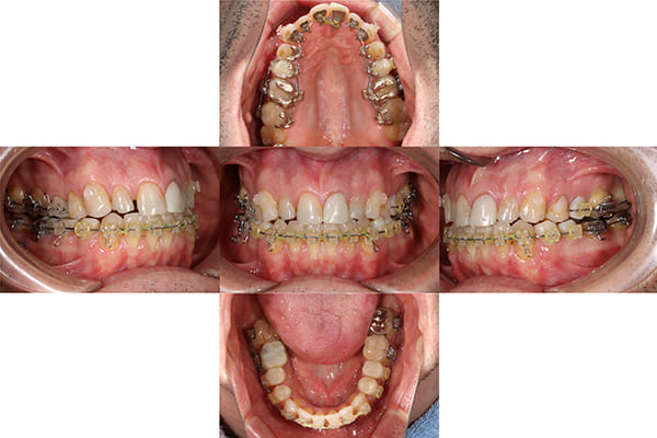
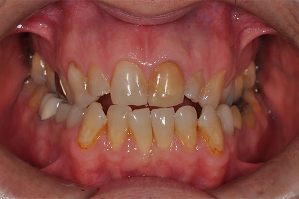
50代の女性の患者さまが「歯ぐきから血が出る」とのことで来院されました。
お口の中を詳しく診査したところ、進行した歯周病により歯ぐきに慢性的な炎症があり、ブラッシング時だけでなく自然に出血が起きていました。
また、歯を支える骨が下がり、前歯が少しずつ前に広がるように動いてきている(フレアアウト)状態でした。その影響で、歯の隙間が目立ってきたり、見た目の印象が変わってきたことにも不安を感じられていました。
このまま放置すると、噛み合わせ全体が崩れていき、食事や発音にも支障が出るリスクがあるため、まずはしっかりと歯周病の治療を行い、炎症をコントロール。その後、見た目と機能を回復するために、被せ物による治療(補綴)を行いました。
歯ぐきの健康を取り戻した上で、美しさと噛みやすさを両立した「歯周補綴」という治療法です。

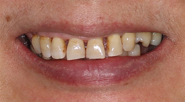
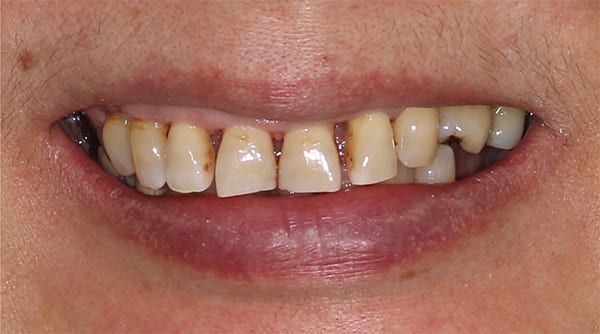
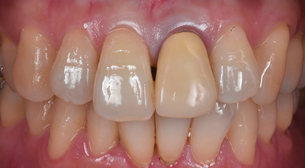
初診時の口元
笑った際の口元のお写真です。
歯の位置や形態、色調に不調和が見られ、全体の印象として審美性に影響を与えている状態でした。
自然で調和の取れたスマイルを目指して、治療を進めていくこととなりました。

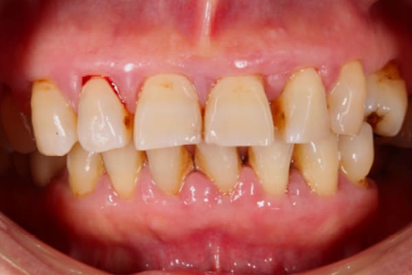
歯周基本治療後
歯ぐきの治療(歯周基本治療)を丁寧に行った後、最初の仮歯を装着したときのお写真です。
この時点で、歯ぐきの腫れや出血といった炎症は大きく改善され、健康的な状態に近づいました。

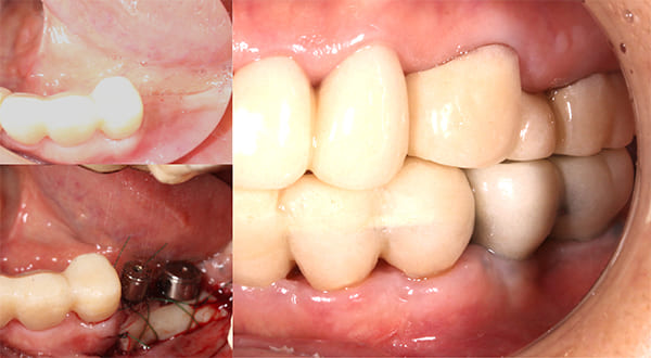
インプラント治療後(左側)
奥歯の部分にはインプラントを用いて、しっかりと噛める力(咬合支持)を回復させ、他の歯にかかる負担を減らすました。
また、インプラントの周りには健康な歯ぐき(角化歯肉)が少なかったため、将来的にインプラントが長持ちするよう、歯ぐきを移植する処置(遊離歯肉移植術)も行いました。

インプラント治療後(右側)
右側にも同様の処置を行いました。
治療後は、歯ぐきがしっかりと増え、健康的な薄いピンク色の歯ぐきが確認できます。
インプラントの周囲にこのような安定した歯ぐきがあることで、見た目が自然になるだけでなく、長期的な安定にもつながります。

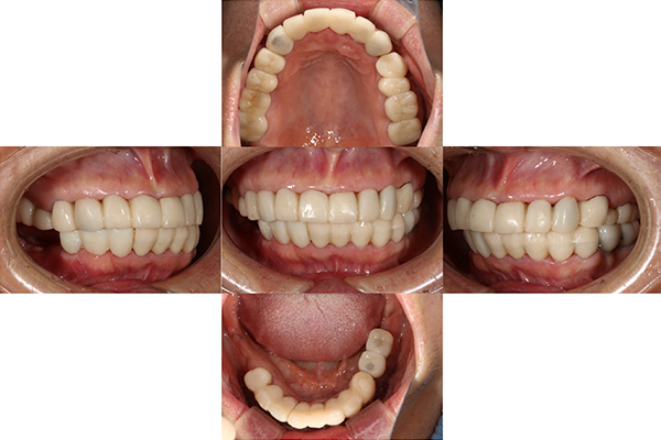
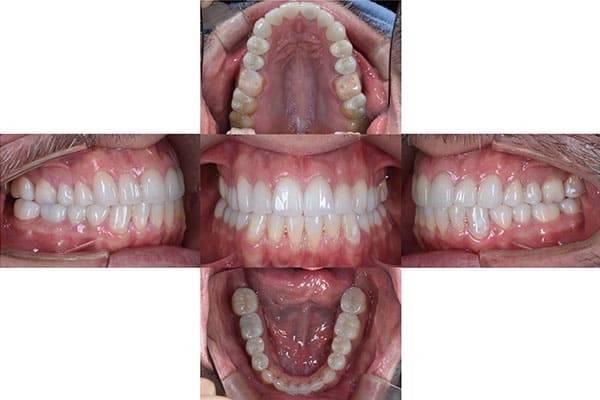
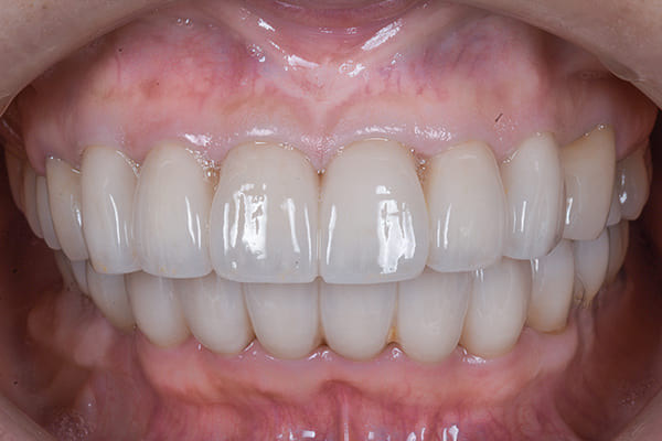
最終補綴物装着後
最終的な被せもの(補綴物)が装着された状態のお写真です。
歯ぐきは健康的で炎症もなく、適切な噛み合わせと自然な見た目を両立させることができました。
お口全体のバランスが整い、患者さまにも大変ご満足いただけました。
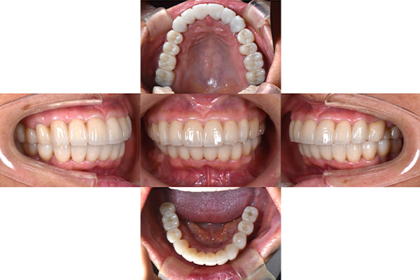
治療前後の比較
治療前と治療後の比較です。
歯ぐきや歯の状態が改善され、自然で調和の取れた印象に仕上がっています。
治療前後の口元の比較
こちらは、笑ったときの治療前と治療後のお写真です。
患者さまのお顔立ちや口元の動きに自然に調和するように、スマイルライン(歯の見え方や並び方)を細かく計算しながら、歯の形をデザインしていきました。
治療後は、笑顔全体がより自然で美しく見えるようになりました。
スマイル時の見た目の改善
-
- 性別・年齢
- 男性・40代
-
- 主訴
- 虫歯を治したい
-
- 治療
- 虫歯の治療を行うとともに、全体的な噛み合わせを見直すことで、再発しにくい口腔環境を整える。
-
- 治療期間
- 約3年半
-
- 費用
- 約350万円
見た目だけでなく、笑顔そのものの印象も大きく変化しました。機能的な改善に加え、自然で品のある表情を引き出すお手伝いができたと感じています。

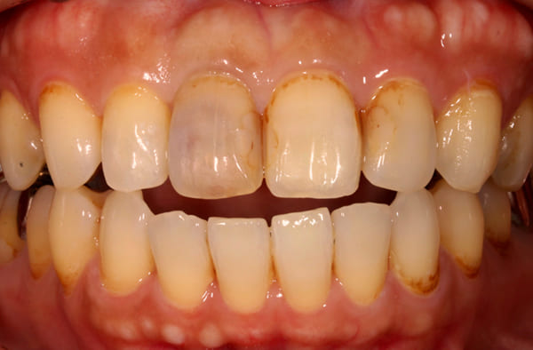
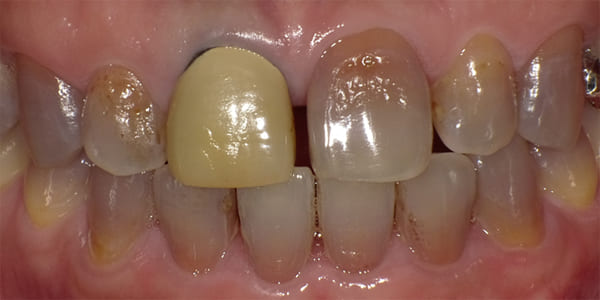
初診時の口腔内
40代の男性の患者様です。
主訴は「虫歯を治したい」とのことでご来院されました。
診査の結果、歯と歯の間を中心に多数の虫歯が見つかりました。
その主な原因のひとつが、噛み合わせの不調和にありました。
今回は、虫歯の治療を行うとともに、全体的な噛み合わせを見直すことで、再発しにくい口腔環境を整えることを目指しました。

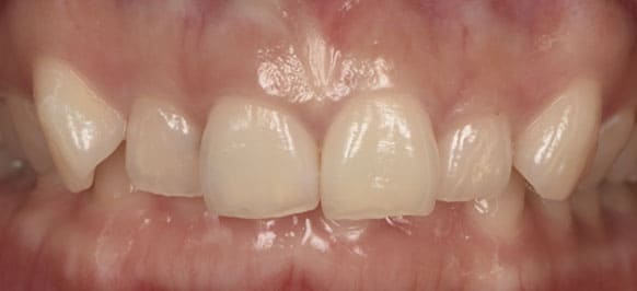
初診時の口元
スマイル時の見た目も気になるとのご希望があり、審美的な改善もご希望されました。
そのため、前歯を含めた審美補綴治療を行うこととなりました。
機能面だけでなく、見た目にも自然で調和のとれた仕上がりを目指しています。

噛み合わせの改善
まずは噛み合わせの改善を目的に、矯正治療からスタートしました。
歯並びだけでなく、咬合バランスを整えることで、虫歯や歯周病のリスクを下げ、長期的に安定した口腔環境を目指しています。

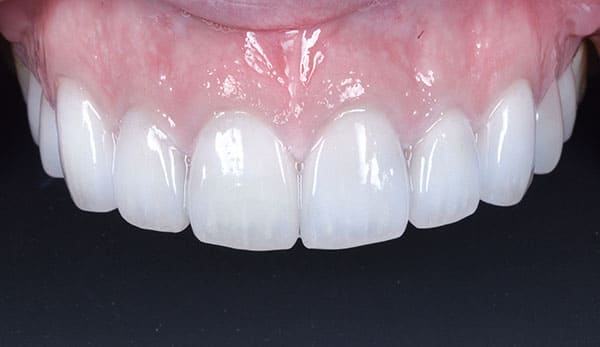
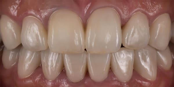
最終補綴物装着後
こちらが最終的な補綴物をセットしたあとのお写真です。
噛み合わせが整い、機能性と審美性の両面で調和のとれた口腔内へと仕上がりました。
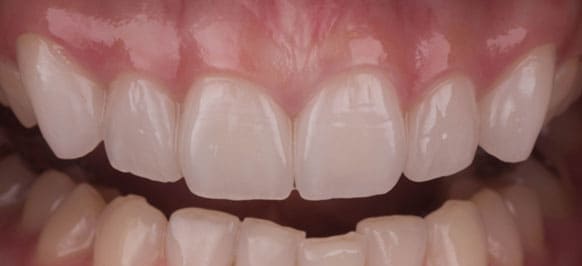
セラミック治療
当院のセラミック補綴は、人工的な印象を与えることなく、まるで天然歯のような質感と透明感を備えています。
審美性と自然さを両立した、洗練された仕上がりを追求しております。
治療前後の比較
治療前後の比較写真です。
噛み合わせの改善とともに、前歯部の審美性も大きく向上しました。
見た目だけでなく、笑顔そのものの印象も大きく変化しました。
機能的な改善に加え、自然で品のある表情を引き出すお手伝いができたと感じています。
金属をお勧めしない3つの理由
お口の中の金属は、見た目の問題や金属アレルギーの原因となることがあります。
当院では、金属を除去し、メタルフリーの素材を使用することで、見た目の改善やアレルギー症状の軽減を目指します。
金属アレルギー問題

口腔内の金属(銀歯など)は、溶出した金属イオンが体内のタンパク質と結合し、アレルゲンに変化することで、金属アレルギーの原因となることがあります。
代表的な症状は接触皮膚炎ですが、血流により全身に運ばれると、肌荒れや円形脱毛症といった全身性皮膚炎を引き起こす場合もあります。近年増加傾向にあり、日本人のおよそ12人に1人がそのリスクを持つと推測されています。
もし歯科用金属が原因と判断された場合、外用薬や内服薬では治癒しないため、原因となる金属の除去が唯一の治療法となります。診断にはパッチテストが用いられますが、金属そのものではなく金属とタンパク質の化合物がアレルゲンであるため、必ずしも全てが判明するわけではないことに注意が必要です。
金属や銀歯が
全身にもたらす影響

口腔内の金属はガルバニー電流という微弱な電流を発生させ、脳の誤作動や体調不良、めまいなど、様々な体の不調を引き起こす可能性があります。
特に銀歯やアマルガムの水銀は健康に悪影響を及ぼすことがあり、これらの対策や除去が症状改善に役立つ場合があります。
このことから、原因不明の不調は、口腔内の金属が関係している可能性があると指摘されています。
カリエスリスク

大人のむし歯の多くは、銀歯の劣化やすき間から発生しやすく、銀歯は環境の変化や口内環境によって劣化しやすいことがあげられます。
また、銀歯は審美性を損ね、金属イオンが溶け出し歯や歯茎を黒ずませることもあります。
さらに、歯との接着性が低いため、内部で虫歯が進行しても気づきにくく、表面の傷に汚れや細菌が蓄積しやすいという欠点があります。
一方、セラミックは口腔内で安定し、虫歯になりにくく、歯との接着性も高いため虫歯の再発を防ぎ、表面も滑らかなため汚れが付きにくいという利点があります。
素材・治療法別の利点と欠点
| 素材・治療法 | 利点 | 欠点 |
|---|---|---|
| ジルコニア |
|
|
| オールセラミック |
|
|
| メタルボンド |
|
|
| ハイブリッド セラミック |
|
|
| ラミネートベニア |
|
|
症例ケース
左前歯の1番単独歯
-
- 主訴
- 左前歯1本の見た目が気になる
-
- 部位
- 上顎前歯
-
- 治療内容
- セラミック治療
+ホワイトニング
-
- 期間
- 1か月半
-
- 費用
- 約22万円(仮歯含む)
右前歯の1番単独歯
-
- 主訴
- 右前歯1本の見た目が気になる
-
- 部位
- 上顎前歯
-
- 治療内容
- セラミック治療
+ホワイトニング
-
- 期間
- 1か月半
-
- 費用
- 約22万円(仮歯含む)
上顎左右犬歯~犬歯
-
- 主訴
- 前歯を綺麗にしたい
-
- 部位
- 上顎左右犬歯~犬歯(6本)
-
- 治療内容
- ラミネートベニア+歯肉整形
-
- 期間
- 約2ヶ月
-
- 費用
- 総額72.6万円(税込)
ラミネートベニア:16.5万円
上顎左右犬歯~犬歯・
下顎左右小臼歯~小臼歯
-
- 主訴
- 歯の色が気になる
-
- 部位
- 【上顎】左右犬歯~犬歯
【下顎】左右小臼歯~小臼歯
(14本)
-
- 治療内容
- オールセラミッククラウン(e.max)
+歯肉整形
+ホワイトニング
-
- 期間
- 約6ヶ月
-
- 費用
- 総額237.6万円(税込)
セラミッククラウン:16.5万円×14本
ホワイトニング:2.2万円/2回セット
よくある質問 Q&A
-
- ラミネートベニヤは短時間で前歯の
隙間を直せますか? -
ラミネートベニヤ(ラミネートクラウンやポーセレンベニヤとも呼ばれます)は、前歯の見た目を改善するために用いられる審美的な補綴物です。隙間(すきっ歯)や歯並びの乱れ、変色などを改善することができます。
ただし、「隙間のある前歯」を最短で治す方法としてラミネートベニヤを選択するかどうかは、具体的な歯の状態や隙間の大きさ、歯の健康状態により異なりますので、一度ご相談ください。
- ラミネートベニヤは短時間で前歯の
-
- セラミック治療後の歯ぎしり・
食いしばりへの対策はありますか? -
硬いものを無理に噛んだり、歯ぎしり・食いしばりをしたりすると破損する原因になるため、ナイトガード(マウスピース)の使用を検討しましょう。また、定期健診にてしっかり管理していくことが大切です。
- セラミック治療後の歯ぎしり・
-
- 銀歯が気になるのですが、
白い歯にできますか? -
銀歯自体の色を変えることは不可能ですが、銀歯を外してセラミック素材の詰め物やかぶせ物に取り換えることで、白い歯にすることができます。
- 銀歯が気になるのですが、
-
- 自由診療のセラミックと
保険診療のプラスチックの違いは? -
自由診療のセラミックと保険診療のプラスチック、大きな違いは「素材」です。
セラミックは陶器、プラスチックはタッパーをイメージしてください。
セラミック(陶器)は、お茶碗のように美しさが長持ち。変色しにくく、汚れも落としやすく衛生的です。
一方、プラスチック製のタッパーは、長く使うと変色したり、着色したり、細かな傷がたくさんついて曇ってきたりします。また、セラミックに比べて強度が弱く、欠けたりすり減ったりする可能性も高くなります。
このように、例えは身近なものですが、歯の材料として考えると、見た目の美しさ、汚れのつきにくさ、そして耐久性に大きな差が出てきます。
- 自由診療のセラミックと
-
- セラミックの詰め物や
被せ物の寿命は何年? -
個人差がありますが、セラミック補綴の寿命は平均的に10年〜15年とされていますが、適切なケアやメンテナンスを継続すれば20年以上使用できるケースもあります。
寿命は使用素材、口腔の環境、生活習慣によって異なり、ジルコニアは耐久性が高い一方、ハイブリッドセラミックはやや耐久性が低くなります。
長持ちさせるためには、毎日の丁寧なケア、定期健診、歯ぎしり・食いしばり対策などが重要です。
- セラミックの詰め物や
-
- セラミック治療のリスク・副作用は?
-
- セラミック治療は、健康保険対象外の自由診療となります。
- 金属のインレー・クラウンより、歯の体積を削る量が若干多いことがあります。
- ごく稀に欠けたり割れたりする可能性があります。
- 治療前に根管治療や土台の処置が必要となることがあります。
- 咬み合わせ・歯ぎしりの強い方は、破損防止のためにマウスピースを使用した方が良い場合があります。
執筆・監修者

長尾歯科クリニック
院長長尾広資Kosuke Nagao
- 所属学会・認定医
-
- インビザライン 認定医
- 顎顔面インプラント学会 会員
- 日本口腔外科学会 会員
- 名古屋市立大学病院 非常勤歯科医師
- メッセージ
-
長尾歯科クリニック日暮里は、あなたのお悩みやご希望に寄り添い、最適な治療プランをご提案します。
丁寧なカウンセリングと精密な診断で、健康と美しさを追求したオーダーメイドの歯科医療をご提供しておりますので、お気軽にご相談ください。





















