矯正歯科治療で、
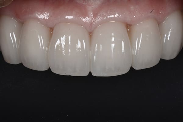
歯の寿命を、笑顔の未来を

歯列不正による咬合性外傷は、歯を失う主な原因の一つです。
長尾歯科クリニック日暮里では、この負担を軽減し、ご自身の歯を長くお使いいただくために矯正治療を提供しています。これにより、最小限の侵襲で審美性、機能性、そして歯の永続性を向上させることが可能です。
対応する矯正治療法は、部分矯正に特化したマウスピース矯正、目立たない舌側矯正、短期間で治療を終えられる表側ゴムメタルワイヤー矯正など、幅広く対応しています。
歯並びが悪いとどうなる?

歯並びの悪さは、むし歯や歯周病の原因となるだけでなく、肉体的・精神的健康にも悪影響を及ぼします。
欧米では健康的で美しい歯並びが常識とされ、親の義務とまで考えられており、この意識は日本でも浸透し、健康的で整った歯並びを求める人が増加しています。
歯列矯正は、単なる美容ではなく、咀嚼機能を回復し、心身の健康を取り戻すための治療です。長尾歯科クリニック日暮里では、機能美にこだわった矯正治療で、健康的な笑顔と豊かな人生をサポートします。
不正咬合の種類
受け口・下顎前突・しゃくれ・反対咬合

- 受け口が気になる
- しゃくれた顎が気になる
- 上下の噛み合わせが反対
開咬・オープンバイト

- 歯のでこぼこが、気になる
- 歯のガタガタが、気になる
- 歯が重なっているのが、気になる
- 歯磨きがしにくい
- 八重歯がある
過蓋咬合

- 噛んだ時に下の前歯がみえない
- 下の歯で上の歯ぐきを噛んでしまう
出っ歯・上顎前突

- 出っ歯が気になる
- 口元が出ているのが気になる
- 出っ歯で口が閉じにくい
叢生・乱杭歯・八重歯

- 前歯で噛み切れない
- 上下の前歯が嚙み合わない
すきっ歯(空隙歯列弓)

- 歯の隙間が気になる
- サ行、ラ行の発音がしづらい
不正咬合が与える影響
-
- 影響 1
-
食べ物が歯の間にはさまり、歯みがきがしにくく、むし歯や歯周病になりやすい。
-
- 影響 2
-
食べ物をよくかみ砕けず、胃腸などの消化器に負担がかかる。
-
- 影響 3
-
上下のアゴの発育や、顔の成長に影響を与えて、不調和をもたらす。
-
- 影響 4
-
上アゴと下アゴをつなぐ顎関節に負担がかかり、顎関節症になりやすい。
-
- 影響 5
-
咀嚼筋の発達に影響を与え、筋力のバランスが崩れて姿勢も悪くなる。
-
- 影響 6
-
正しい発音がしにくくなる。
子供と大人の矯正歯科

子供の歯列矯正治療
乳歯から永久歯への移行期、噛み合わせが悪くなった場合は、二段階の矯正治療が有効です。
3歳~11歳頃の早期治療(第1期治療)では、成長期を利用し、簡単な装置で顎の骨や歯の位置を誘導。
12歳頃からの本格治療(第2期治療)では、永久歯の咬合がほぼ完成した後、固定式装置でより精密な噛み合わせを形成します。
長尾歯科クリニック日暮里では、お子様の成長段階に合わせた最適な治療プランをご提案いたします。

大人の歯列矯正治療
矯正治療は年齢を問わず、当院では20代から70代まで幅広い方が治療を受けています。
長年のコンプレックス解消や昔の矯正歯科治療の後戻り治療、様々な動機で来院されています。
患者様お一人おひとりに合わせた方法で、歯並びや口元の美しさと健康的な咬合の実現を目指して治療を行います。
矯正歯科治療の方法

マウスピース矯正
部分矯正に最適なマウスピース型矯正は、透明で目立たず、取り外し可能な点が魅力です。
お仕事中など人目が気になる際も安心して治療を受けられ、食事も通常通り楽しむことができます。自宅での使用も可能です。

裏側矯正・舌側矯正
裏側矯正・舌側(ぜっそく)矯正は、リンガル矯正とも呼ばれ、歯の裏側につけるので矯正しているのがわかりません。
最近は装置も小型化が進み、矯正治療中も快適に過ごすことができるようになってきています。

ゴムメタルワイヤー矯正
ゴムメタルはトヨタグループが開発した柔軟で高強度のチタン合金で、その特性を活かした従来のワイヤー矯正により、治療期間の短縮が可能となっています。
長尾歯科クリニック日暮里では、最新技術で、患者様の負担を軽減した矯正治療をご提供いたします。
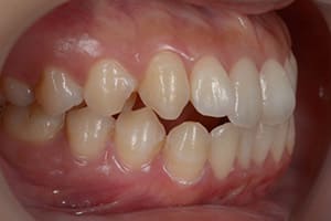
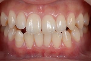
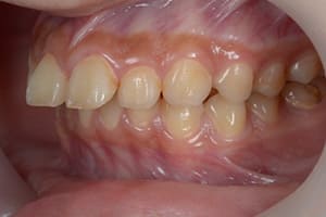
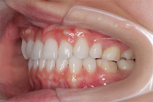
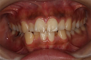
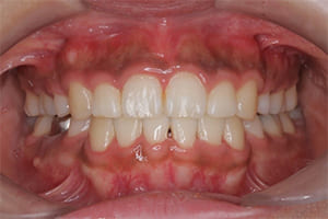
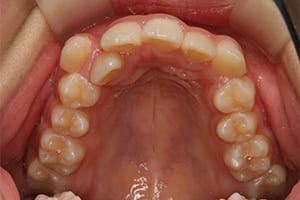
症例ケース
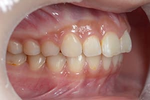
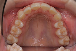
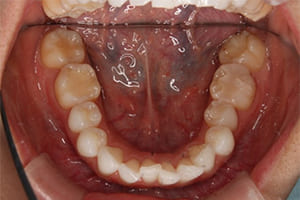
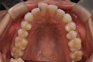
開咬・オープンバイト
Before
After
-
- 治療内容
- オープンバイト・開咬(かいこう)の非抜歯による矯正歯科治療
-
- 治療期間
- 9ヶ月
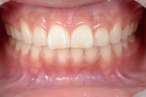
上顎前突・出っ歯.01
Before
After
-
- 治療内容
- 上顎前突・出っ歯の非抜歯による矯正歯科治療
-
- 治療期間
- 12ヶ月
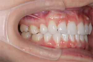
出っ歯・上顎前突.02
Before
After
-
- 治療内容
- 上顎前突・出っ歯の表側のラビアル矯正による抜歯の矯正歯科治療
-
- 治療期間
- 18ヶ月
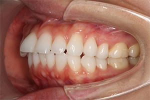
叢生・乱杭歯
Before
After
-
- 治療内容
- 叢生・乱杭歯の表側のラビアル矯正による抜歯の矯正歯科治療
-
- 治療期間
- 20ヶ月
叢生・乱杭歯・八重歯
Before
After
-
- 治療内容
- 叢生・乱杭歯・八重歯の表側のラビアル矯正による抜歯の矯正歯科治療
-
- 治療期間
- 20ヶ月
出っ歯・上顎前突.03
Before
After
-
- 治療内容
- 叢生・乱杭歯・八重歯の表側のラビアル矯正による抜歯の矯正歯科治療
-
- 治療期間
- 20ヶ月
よくある質問 Q&A
-
- 矯正歯科治療のリスク・副作用
-
- 治療期間は個人差が出る場合があります。
- 矯正治療は歯を支える骨の代謝をコントロールして歯を移動させます。
そのため、治療の初期(1週間程度)には顎の部分に痛み、熱感、倦怠感などを生じ、食事がしにくくなることがありますが、だんだんと軽くなります。痛みの程度には個人差があります。 - 矯正治療による歯根吸収(歯根が短くなること)が生じる場合があります。
- 矯正装置による歯肉退縮(はぐきが下がること)が生じる場合があります。
歯茎が下がると、歯が長く見えたり、歯と歯の間に隙間が出てきて黒く見えることがあります。 - 矯正装置による口内炎が生じる場合があります。
- 矯正装置により歯磨きがしにくくなり、虫歯および歯周病になるリスクがあります。
- 痛み止めなどの薬の服用は、歯の移動を阻害することがあります。
- 歯周病や根の先に感染症があると、悪化することがあります。
- 顎関節症があると、悪化することがあります。
- 骨や内分泌系の疾患があると、治療期間が延びる可能性があります。
- 本人に取り外していただく装置を使用することがあります。
医師の指示通りに使用しない場合には歯並びの改善が困難になることがあります。 - 治療後のリテーナーの仕様が不十分な場合、歯列が後戻りすることがあります。
- 治療後には中、長期的に見て生理的な変化があります。
これは、矯正治療の後戻りとは異なり、新たに獲得した噛み合わせび自然な変化です。
矯正治療を行わない人にも必ず噛み合わせの変化は起こります。 - 遺伝性、骨格性の不正咬合の場合には、個々の成長能力により症状が再発することもあります。
-
- 歯を動かしても問題ないのでしょうか?
-
歯は歯根膜によって支えられ、土台の骨を溶かしたり再生したりしながら、ダメージを与えずに安全に動かすことができます。
通常、歯は1か月に約0.8mm動き、過剰な力をかけても歯根が短くなることはありますが、歯の健康に影響はありません。
-
- 虫歯があっても矯正歯科治療は可能ですか?
-
基本的に虫歯治療後に矯正治療を行いますが、軽度の虫歯は矯正中でも治療可能です。
歯並びを整えることで隠れていた虫歯が露出し、抜歯予定の歯は治療の必要がなくなる場合もあります。
-
- 歯列矯正は虫歯や歯周病の予防になりますか?
-
矯正治療によりかみ合わせを改善すると、歯の自浄作用やブラッシングがしやすくなり、虫歯や歯周病の予防につながります。
また、均等な力のかかる良好な噛み合わせは咀嚼をスムーズにし、歯の寿命延長や長期的な健康維持に寄与します。
実際、8020達成者には良好な咬合の方が多く、不正咬合の方は少ないことが明らかになっています。
執筆・監修者

長尾歯科クリニック
院長長尾広資Kosuke Nagao
- 所属学会・認定医
-
- インビザライン 認定医
- 顎顔面インプラント学会 会員
- 日本口腔外科学会 会員
- 名古屋市立大学病院 非常勤歯科医師
- メッセージ
-
長尾歯科クリニック日暮里は、あなたのお悩みやご希望に寄り添い、最適な治療プランをご提案します。
丁寧なカウンセリングと精密な診断で、健康と美しさを追求したオーダーメイドの歯科医療をご提供しておりますので、お気軽にご相談ください。









































