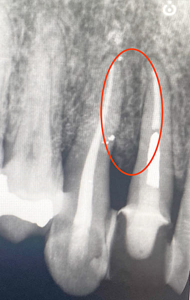
歯周組織再生療法
中等度・重度の歯周病は、従来の歯周基本治療だけでは改善が難しい場合が多く、抜歯が選択されることもありました。
しかし、現在ではエムドゲインなどの再生治療によって、骨を再生させ、抜歯を回避できる可能性があります。
歯周病でお悩みの方や他院で抜歯と診断された方は、長尾歯科クリニック日暮里へまずご相談ください。
-
- 治療内容
- 歯周組織再生療法
-
- 期間
- 約6ヶ月
-
- 費用
- 総額16.5万円(税込)
歯周病は自覚症状ないまま
進行していく病気です

歯周病は「静かなる病気」と呼ばれ、痛みなどの自覚症状なしに進行し、気づかないうちに重症化して歯を失うこともあります。
歯を失わないためには、日頃の予防が大切ですが、すでに罹患している場合は早期の治療が必要です。
歯周病は感染症

歯周病は歯周病原菌の感染により、発症・進行していきます。歯みがきが疎かになったり、歯みがきをしていてもみがき残しがあったりすると、歯垢(プラーク)が蓄積していきます。
この歯垢の中には数百種類もの細菌が存在し、歯と歯ぐきの隙間に数日間みがき残しが持続すると、接している歯ぐきに炎症が起こり赤く腫れてきます。
この初期段階を歯肉炎と呼び、歯肉に限局した炎症病変であるため、歯肉炎の状態であれば注意深く磨くことにより、健康な歯ぐきに回復していきます。
歯周病を放置するとどうなる?

悪化させると歯が抜け落ちる
歯周病は、歯周病菌によって顎の骨が溶かされる病気で、進行すると歯ぐきの炎症、出血、口臭、膿などが見られ、最終的には歯が抜けてしまうこともあります。

歯周病が全身の病気に及ぼす影響
歯周病は、歯だけでなく糖尿病や心臓病、脳梗塞、肺炎、骨粗しょう症、早産、さらにはガンとも関連が指摘されており、自覚症状が出にくいため放置されがちです。
健康を守るために、歯周病と診断されたら積極的に治療や通院を行うことが重要です。
歯周病が影響する全身疾患
| メタボリックシンドローム |
|---|
| 歯周ポケット内の細菌が作る内毒素、肝臓でのエネルギー消費を邪魔して肥満の原因になります。また、歯周病が糖尿病を悪化させる原因にもなります。 |
| 脳血管疾患・心臓疾患 |
|---|
| 歯周ポケット内の細菌が血管内に入り動脈硬化が起き、脳梗塞や心筋梗塞の原因となります。 |
| 妊娠トラブル |
|---|
| 歯周病菌によって早産や未熟児出産などの原因となる可能性があります。 |
| 誤嚥性肺炎 |
|---|
| 口の中の細菌が唾液や胃液と共に気管支や肺に入り込み、肺炎を引き起こします。 |
| ピロリ菌感染胃疾患 |
|---|
| 歯周病はピロリ菌感染による胃潰瘍の引き金になり、増悪させる原因になると考えられます。 |
| 骨粗しょう症 |
|---|
| 歯周ポケット内の細菌は、歯を支える骨を溶かすだけでなく、血液に入り込んで全身の骨をボロボロにしてしまいます。 |
| 関節炎・腎炎 |
|---|
| 歯の周りから入り込んだ毒性物質が腎炎や関節炎になってしまうこともあります。 |
| 皮膚疾患 |
|---|
| 口の中の細菌が作るタンパク質が皮膚炎を引き起こすことが分かってきました。 |
歯周病の進行度
進行度1

軽度歯周病
(危険度★★)
軽度の歯周炎は歯茎が少し赤みを帯び腫れた状態になります。軽度歯周炎の場合の目安は歯周ポケットが3~4mm程度と言われています。この段階ではプラークや歯垢をスケーリングなどで取り除き、正しい歯みがきを毎日することです。
進行度2

中等度歯周病
(危険度★★★)
エナメル質の下の象牙質まで虫歯が進行した状態です。
冷たいものを飲んだり甘いものを食べたりした時に、歯がしみたり痛んだりします。
この段階では虫歯になった部分を削り、詰めもの(インレー)を詰めて治療します。
進行度3

重度歯周病
(危険度★★★★★)
重度の歯周炎になると、歯がグラグラして、歯と接している歯茎がさらに腫れ、化膿が進みます。歯と歯の間が広がり、歯茎が下がって、歯が長く見えます。この段階の治療法は再生療法を用いて歯周組織の再生をはかるかことが多いです。しかし、ここまで進行すると抜歯になる可能性が高くなります。
こんな症状はありませんか?
-
- Check 1
-
毎日の歯磨きで出血はしていませんか?
-
- Check 2
-
歯茎が赤く腫れていたり、なんとなくしまりがなく、ブクブクゆるんでいる感じがしませんか?
-
- Check 3
-
口臭が続いたいたら要注意!
本人は気付きにくいものですから家族などが知らせてあげましょう。
-
- Check 4
-
痛い・かゆい・不快だと感じたら要チェック
1つでも当てはまることがあれば、
当院にお越しください。
よくある質問 Q&A
-
- 朝起きた時に歯ぐきに違和感があるのは原因がありますか?
-
夜間は唾液の分泌が減り、お口の中が乾燥して細菌が活発化するため、歯ぐきにとってリスクの高い時間です。
このため、寝る前の歯磨きは特に重要となります。また、就寝中の歯ぎしりや食いしばりも、歯や歯ぐきに負担をかけ、朝の違和感に繋がることがあります。
-
- 歯みがき時に出血する時としない時があるのはなぜですか?
-
歯ぐきに炎症があると、軽い刺激でも出血しやすくなります。ただし、炎症の程度や体調によって出血しないこともあります。
歯みがきで一度でも出血に気づいたら、早めに歯科を受診することをおすすめします。
-
- 歯が抜けたままだと他の歯に影響はありますか?
-
歯が抜けたまま放置すると、周囲の歯が傾いたり伸びたりして、新たな虫歯や歯周病のリスクが高まります。
特に歯周病で抜けた場合は、他の歯にも問題がある可能性が高いため、全体的な歯科検診が必要です。
-
- 定期的なメインテナンスは必要ですか?
-
歯周病は感染症であり、再発しやすい病気です。セルフケアだけでは完全に歯垢を取り除くことは難しいため、歯科医院でのプロによるクリーニングが不可欠です。
毎日の丁寧なセルフケアと、定期的なプロフェッショナルケアを継続することで、歯周病の進行を抑え、健康な状態を維持できます。メンテナンスは、歯周病治療において非常に重要な要素です。
-
- 歯周組織再生療法のリスク・副作用
-
歯周組織再生療法には、手術後の腫れ、痛み、内出血、歯肉の退縮、知覚過敏、感染のリスクがあります。
また、薬剤へのアレルギー・拒絶反応、期待通りの再生が得られない可能性があり、喫煙や不十分なプラークコントロールは治療の成功率を下げ、効果を限定的にする要因となります。
執筆・監修者

長尾歯科クリニック
院長長尾広資Kosuke Nagao
- 所属学会・認定医
-
- インビザライン 認定医
- 顎顔面インプラント学会 会員
- 日本口腔外科学会 会員
- 名古屋市立大学病院 非常勤歯科医師
- メッセージ
-
長尾歯科クリニック日暮里は、あなたのお悩みやご希望に寄り添い、最適な治療プランをご提案します。
丁寧なカウンセリングと精密な診断で、健康と美しさを追求したオーダーメイドの歯科医療をご提供しておりますので、お気軽にご相談ください。

